What to Expect During a CT Scan with Contrast
A complete guide to CT scans with contrast dye - from preparation to recovery. Know what to expect and feel confident.
What to Expect During a CT Scan with Contrast
If you've been scheduled for a CT scan with contrast, it's completely natural to have questions or feel a bit nervous. Understanding what to expect can help ease your mind and prepare you for a smooth experience. This guide walks you through the entire process - from preparation to recovery.
What Is a CT Scan with Contrast?
A CT (Computed Tomography) scan is a powerful imaging tool that takes detailed pictures of your body's internal structures. When contrast dye is used, it helps highlight blood vessels, organs, and tissues, making it easier for doctors to see abnormalities such as tumors or areas of concern.
Contrast dye can be given:
- Intravenously (IV): Injected into a vein in your arm or hand
- Orally: As a drink consumed before the scan
- Both: Depending on what area is being examined
"Knowledge is power. Understanding what to expect can transform anxiety into confidence."
Preparing for Your CT Scan
Before Your Appointment
1. Fasting Requirements
- You may be asked not to eat solid foods for 4-6 hours before your scan
- Clear liquids (water, clear broth, apple juice) are usually allowed
- Follow your healthcare team's specific instructions
2. Medications
- Continue taking your regular medications unless told otherwise
- Important: If you take metformin for diabetes, inform your team - it may need to be paused for 48 hours before and after the scan
- Tell your doctor about any allergies, especially to iodine or contrast dye
3. What to Bring and Wear
- Wear loose, comfortable clothing without metal (zippers, buttons, underwire)
- Leave jewelry, watches, and metal accessories at home
- Remove glasses, dentures, and hearing aids before the scan
- You may be asked to change into a hospital gown
4. Oral Contrast (If Required)
- Some scans require drinking a contrast solution 30-60 minutes before the procedure
- This helps highlight your digestive tract
- It may taste chalky, but it's harmless and passes through your system naturally
What Happens During the Scan
Arriving at the Imaging Center
When you arrive, a radiology technologist will greet you and explain the process. They'll ask about your medical history and confirm any allergies or previous reactions to contrast dye.
The IV Contrast Injection
If IV contrast is needed:
- A small needle will be inserted into a vein in your arm or hand
- The injection itself is quick and similar to having blood drawn
- What you may feel: A warm sensation throughout your body (this is normal and temporary)
- What you may taste: A metallic taste in your mouth (also normal and passes quickly)
Don't worry - these sensations typically last only 1-2 minutes.
During the Actual Scan
- Positioning: You'll lie on a narrow table that slides into the CT scanner (a large, donut-shaped machine)
- Staying still: It's important to remain as still as possible for clear images
- Breathing instructions: You may be asked to hold your breath for a few seconds at a time
- Communication: The technologist will be in a nearby room, watching through a window and speaking with you through a microphone
- Duration: The actual scanning typically takes 10-30 minutes
The CT scanner is open on both ends, making it less confining than an MRI machine. If you're anxious, let your team know - they're there to help you feel comfortable.
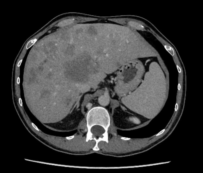
What a CT Scan with Contrast Looks Like
Here's an example of what a contrast-enhanced CT scan image looks like. This abdominal CT scan shows detailed internal structures that the contrast dye helps highlight:

This is a CT scan from Dima, OncoSteps' founder, showing extensive liver metastases from colorectal cancer after multiple rounds of chemotherapy. As someone who has personally navigated the challenges of cancer diagnosis and treatment, Dima founded OncoSteps to help others better understand their scans and make informed decisions about their care.
Common Sensations and Side Effects
During the Scan
| Sensation | Cause | Duration |
|---|---|---|
| Warm feeling | IV contrast spreading through bloodstream | 1-2 minutes |
| Metallic taste | Normal reaction to contrast dye | 1-2 minutes |
| Urge to urinate | Warm sensation in pelvic area (normal) | Brief |
Rare Side Effects
Most people tolerate contrast dye very well. However, in rare cases, some may experience:
- Mild itching or hives (allergic reaction)
- Nausea
- Dizziness
Seek immediate help if you experience:
- Difficulty breathing
- Severe swelling
- Rapid heartbeat
These severe reactions are extremely rare, and medical staff are trained to respond immediately.
After Your CT Scan: Recovery
Immediate Aftercare
- Drink plenty of water: This helps flush the contrast dye from your body
- Resume normal activities: You can typically return to your regular routine right away
- Driving: Unless you were given sedation (uncommon), you can drive yourself home
- Eating: You can eat normally after the scan
Monitoring
- Keep an eye out for any unusual symptoms in the hours following your scan
- Mild symptoms like slight warmth or metallic taste should resolve quickly
- Contact your healthcare team if you experience persistent discomfort
Getting Your Results
- A radiologist will review your images and send a report to your doctor
- Results are typically available within a few days
- Your healthcare team will discuss the findings with you at your follow-up appointment
Request a Copy of Your Scan
Important tip: After your CT scan is complete, ask the imaging center for a DVD copy of your scan images. Many hospitals don't provide this automatically, but it's your right to have a copy of your own medical records.
Having your scan images can be valuable for:
- Getting a second opinion: Another specialist can review your images without repeating the scan
- Transferring care: If you change hospitals or see a new doctor, you'll have your records ready
- Personal records: Keep track of your imaging history over time
- AI-powered analysis: You can upload your scan to OncoSteps to get an AI explanation of what's shown in your images - often on the very same day!
Don't hesitate to ask for your scan on a DVD or digital format before leaving the imaging center. It's a simple request that could save you time and hassle later.
Tips for a Smooth Experience
β Communicate openly with your healthcare team about any concerns or allergies
β Follow preparation instructions carefully to ensure the best image quality
β Stay hydrated before (if allowed) and especially after your scan
β Bring a list of your medications and any relevant medical records
β Arrive early to allow time for paperwork and preparation
β Wear comfortable clothing to make changing easier
Special Considerations
If You're Pregnant or Breastfeeding
Always inform your healthcare team if you're pregnant or breastfeeding. They'll determine the safest approach for your imaging needs.
If You Have Kidney Problems
Contrast dye is processed by your kidneys. If you have kidney disease or reduced kidney function, your team may:
- Use a lower dose of contrast
- Order blood tests beforehand to check kidney function
- Take extra precautions to protect your kidneys
If You've Had Previous Reactions
If you've had allergic reactions to contrast dye in the past, tell your team. They can:
- Give you medication beforehand to prevent a reaction
- Use a different type of contrast
- Monitor you more closely during and after the scan
You're Not Alone
We understand that medical procedures can feel overwhelming, especially when you're already dealing with a health challenge. Remember:
- Your medical team is there to support you every step of the way
- CT scans are routine procedures performed safely thousands of times daily
- This scan provides valuable information to guide your care and treatment
If you have questions or concerns before your appointment, don't hesitate to reach out to your healthcare team. They want you to feel informed and comfortable.
Have questions about preparing for medical imaging or other appointments? The OncoSteps app can help you track your appointments, medications, and symptoms - keeping everything organized in one place.